Is There Life After Long COVID ?!
It's hard to believe I'm into my 3rd year of living with this invisible illness. For my 2nd year anniversary, I decided that I was taking my health into my own hands. I could no longer wait for our government to acknowledge the latest research, never mind implement it. Some of that fire and determination I’m known for returned to my body and the opportunity presented itself for me to have a consultation with Dr Jaco Laubscher in Stellenbosch. Additionally my medical information was going to be used for Professor - Reisa Pretorius's research, this felt extremely important to me. I had no idea how I was going to manage the journey - I just knew I was going.
This turned out to be one of the best decisions I've ever made. This gentleman, who is a physician specialising in non-invasive cardiology and vascular biology with a background in ICU. Has been advocating for 2 years that COVID/Long COVID is vascular and thrombotic in nature. Indeed my blood tests revealed (even after 2 years) that I had microclots & hyperactive platelets. I was prescribed triple anticoagulation treatment that day. This was overwhelming, after 2 years of being medically gaslight. I was now before this medical genius, who was explaining the pathophysiology of this debilitating illness to me. Using an artery and vein model - Dr Laubscher explained the damage that had occurred to my endothelial layer. Due to these microclots, effectively jamming up my capillaries and the continued problems of having hyerpactive platelets. Being left untreated, as we now know leads to tissue and organ hypoxia, resulting in many of our unexplained medical symptoms. I was unable to talk or articulate myself, my son took over - I can't remember a thing!
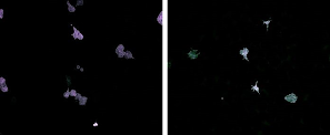
Pictures of my hyperactive platelets.
This triple anticoagulant therapy is proving to be successful in South Africa and is the same protocol I’m now on. This research was compiled by Dr Jaco Laubscher, Prof Reisa Pretouris & Prof Doug Kell et al. I take clopidogrel, apixaban and aspirin daily along side other medications that were also prescribed due to other specific symptoms. I will remain on this medication for 2- 3 months then have my bloods retested and ascertain the need for more or amended treatment, if any .
So far the side effects have consisted of stomach irritation, increased fatigue, tachycardia, increased headaches and increased vertigo. With my substantial GI issues - it hasn’t been easy to find a balance. Due to all of the above the first 2 weeks of treatment were pretty grim. This was to be expected due to the dissolution of the microclots, releasing inflammatory molecules directly into the blood. I'm going into my 4th week, I’m feeling brighter and sharper. Apparently this means I’m responding well, however my stomach remains unhappy.
Additional Worthwhile Therapies
In addition to this I strongly feel that Hyperbaric Oxygen Therapy, (HBOT) has been extremely beneficial to relieving my symptoms. Such as cognitive disfunction, fatigue, breathing and pressure headaches. I have met many other long haulers at this therapy and it's given me a sense of comfort that I'm not alone. However it's worth noting that some long haulers don't react well to HBOT, it's too much for the body - causing relapses and lung pain. I think I'm at a stage in my journey now that my body can handle the pressure, it's beneficial for me. I can still only attend weekly, as it's an hour each way from my home and traveling more frequently remains to much for my fatigue and post exertional symptom exacerbation, (PESE).
There has recently been a lot of attention given to Long COVID and gut health (and correctly so). Many months ago I watched one of Gez Medinger's You-Tube videos. He interviewed Viola Sampson - a microbiome specialist - on the importance of gut health our microbiome and how COVID had effected it. I booked an appointment instantly and have been working with Viola ever since. Interestingly she also has a long history with myalgic encephalomyelitis, (ME). Working with Viola has been a blessing, she fully understands from lived experience how debilitating this illness is. Many of us now have a diagnoses of ME along side our Long COVID. As suspected my microbiome was far less than ideal. I have systemic inflammation, too much of the bad bacteria/inflammation and not enough of the good bacteria. Which helps manage the inflammation and energy production, to which mine were non existent. To determine these results I sent a stool sample and my specific microbiome were analysed. I'm on multiple pro and prebiotics - as well as dietary changes and meet with Viola regularly to amend and assess my protocol. Another reason I made it to Dr Laubscher.
Medical Gaslighting Continues
Over 2 years into this pandemic with many research articles, media interviews, blogs, newspaper reports and continued advocating by patients (many of whom are health care professionals). We remain largely ignored. I have met with local MLA’s along side other longhaulers and Northern Ireland Chest Heart & Stroke, to advocate for research in Northern Ireland and correct diagnostic equipment. As we know, all current blood tests within the NHS will not identify microclots (even D - dimers). The response was underwhelming and after the meeting I felt like I was banging my head of the proverbial brick wall. Some of the responses were so unsympathetic and ignorant I can’t bring myself to repeat them. There has been more success with politician Layla Moran, in England who has been meeting and liaising with longhaulers and advocating for them via parliamentary forums.
I recently required a sick line and a particular GP who appears to have an issue believing Long COVID exists, didn’t write my diagnoses of Long COVID on it. This diagnoses was given to me by a respiratory consultant, 9 months into my illness. This isn’t the first time this gaslighting has occurred. I immediately rang the surgery, demanding this was changed. ‘Sassy Sas’, as my youngest niece calls me is slowly returning. A year ago I wouldn’t have been able to advocate for myself like this, instead I would have cried and ruminated over the incident for weeks. But this begs the question - if I had a diagnoses of Cancer, a Brain tumour or Kidney failure, would I have to be actively fighting for recognition of this over 2 years later ?!
The lack of empathy, belief and straightforward ignorance to current research and evidence, that is available is staggering. People are travelling thousands of miles to be seen, diagnosed and validated. Not everyone is financially able to do this, many have lost their jobs, their homes, their partners and are bed bound. Surely GP’s should be subjected to mandatory training surrounding this new illness sweeping the nation ? Medical gaslighting is rife and more common amongst women. We are still classed as neurotic and misdiagnosed, twice as many times as men. However it must be acknowledged that along my journey, I have met many men who have been subjected to shameful medical gaslighting also. I will continue to advocate for appropriate assessment and treatment in Northern Ireland. Gaslighting patients is ethically and morally unacceptable practice and is simply not good enough. Primary care - I know you are under significant pressure, but you must do better.
In Conclusion
Is there life after Long COVID ? A very different one. I have accepted that I will most probably not return to the lady I was pre illness. If I had of been given the triple anticoagulant therapy and antivirals within the first 6 months my prognosis would have been better. Circulation of the blood and thrombosis is only part of the puzzle, albeit a massive part of the puzzle. Some research confirms residual virus, immunology complications and Mitochondrial dysfunction could also play a part. Concerning for me, as the longer I have went untreated the more complications my body has had to manage and navigate. Possibly resulting in long term damage, only time will tell.
However I am hopeful that I’m finally now on the path to some sort of recovery. I’m now getting the appropriate treatment and recognition I deserve during my weekly follow ups with Dr Laubscher. As well as HBOT and my specialist microbiome input, with Voila Sampson. Moreover I will travel for follow up bloods to Germany in June. I will remain under the expert care and guidance of Dr Laubscher until my blood results are normal and feel extremely blessed to have been able to partake in this opportunity.
My family has been incredible through out the past 2 years, never doubting me for a second. My mum has been effected deeply, the constant worry regarding my health has started to show on her 74 year old body. My son has been amazing and mature beyond his years. The last two years haven’t been easy for him either, being newly diagnosed with ADHD and studying for a degree during a pandemic. For which the most was self taught in his bedroom. He has always grounded and rationalised my irrational thinking, always strongly believing that some day I will heal.
My son enjoying his first ‘normal’ family moment in 2 years, at our hotel whilst I was over getting medical attention. He has now obtained his degree with honours in Computer Science and is working within his specialist area. I’m beyond proud of what he has managed to accomplish during this time.
My son is my hero. I dedicate this blog to him.




